- Angina abdominalis bei abgangsnaher, kurzstreckiger Arteria mesenterica superior (AMS)-Stenose oder Verschluss bei unzureichender Kollateralversorgung via Truncus coeliacus
- fehlende Indikation zur interventionellen Behandlung, z. B. bei langstreckigen Abgangsstenosen/Verschlüssen der AMS)
- Versagen einer interventionellen Behandlung
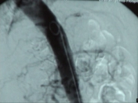
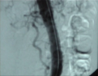
Filmbeispiel: abgangsnaher Verschluss der AMS mit Verschluss des Truncus coeliacus
Ischämiegrad und allgemeine Operationsindikation
Stadium | Symptomatik | OP-Indikation |
|---|---|---|
I | asymptomatisch | fakultativ bei simultanen Gefäßverschlüssen, Eingriffen an der Aorta oder Beckenstrombahn |
II | Angina abdominalis = postprandiale, krampfartige Abdominalschmerzen, Kachexie | absolute OP-Indikation |
III | abdominaler Ruheschmerz | absolute OP-Indikation |
IV | akutes Abdomen bei Mesenterialinfarkt, Darmgangrän, ggf. Durchwanderungsperitonitis | Notfallindikation |

