Infiltrationsanästhesie rechte Leiste mit Xylonest 1%. Palpation und Punktion der Arteria femoralis communis. Einführen eines Terumo®-Drahtes über die Punktionskanüle.
-
Punktion der Arteria femoralis communis rechts
-
Einführen der Schleuse bis zum Aortenbogen
-
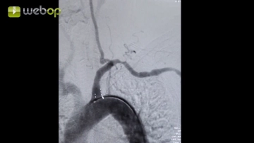
Angiographie
![Angiographie]()
Toneinstellungen Darstellung der supraortalen Äste, insbesondere der Arteria subclavia sinistra. Markierung des Abgangs der Arteria subclavia aus dem Aortenbogen sowie deren Stenosierung.
Tipps:
1. Zur besseren Darstellung der supraaortalen Äste bei wachen Patienten sollte man den Patienten zunächst tief ein- und ausatmen lassen, anschließend erfolgt in einer Atempause die Angiographie.
2. Der Aortenbogen sollte anatomisch korrekt dargestellt werden. Dazu sollte der C-Bogen in LAO zwischen 30 und 50° positioniert werden (LAO-Projektion = left anterior oblique, linke vordere Schrägposition).
Unter Durchleuchtung Sondierung der Stenose der Arteria subclavia mittels Terumo®-Draht.Tipp:Bei un
Jetzt freischalten und direkt weiter lernen.
Einzelfreischaltung
Freischaltung dieses Lehrbeitrags für 3 Tage.
Beliebtestes Angebot
webop - Sparflex
Kombiniere flexibel unsere Lernmodule und spare bis zu 50%.
51,56 $/ jährliche Abrechnung
Gefäßchirurgie
Alle Lehrbeiträge in diesem Modul freischalten.
103,10 $ / jährliche Abrechnung


