Das Konsensusdokument TASC II (Transatlantic Inter-Society Consensus for the Management of Peripheral Arterial Disease) beschäftigt sich mit Aspekten der Revaskularisation bei der AVK.
Nach den TASC-Kriterien lassen sich in Abhängigkeit der lokalen Verschluss-/Stenosenlänge therapeutische Behandlungsoptionen ableiten. Die Länge der Stenose und deren Lokalisationsregionen entscheidet über die Therapie: endovaskulär oder offen gefäßchirurgisch.
TASC-Kriterien femoropoplitealer Gefäßverschlüsse
Typen | Morphologie | Therapieprinzip |
|---|---|---|
A | Einzelstenose <5 cm Länge, nicht am Beginn der AFS oder in distaler A. poplitea, Einzelverschluss <3 cm Länge (nicht am Beginn der AFS oder A. poplitea) | endovaskulär |
B | Einzelstenose 5–10 cm Länge, nicht in distaler A. poplitea, Einzelverschluss 3–10 cm Länge, nicht in distaler A. poplitea, verkalkte Stenose <5 cm Länge, multiple Läsionen <3 cm Länge | endovaskulär |
C | Einzelverschluss 3–10 cm Länge bis distale A. poplitea, multiple fokale Läsionen 3–5 cm Länge ohne/mit Verkalkung, Einzelstenose/Verschluss >10 cm Länge | offene Rekonstruktion |
D | Komplettverschluss AFC und/oder AFS, Komplettverschluss A. poplitea und Trifurkation, schwere diffuse Erkrankung | offene Rekonstruktion |
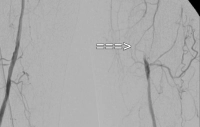
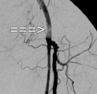
Filmbeispiel: TASC C → offene Rekonstruktion
AVK Stadium IIb links (Gehstrecke unter 100 m). Die präoperative DSA zeigt:
- eine subtotale Stenose der Arteria femoralis communis
- einen langstreckigen Verschluss der Arteria femoralis superficialis im Adduktorenkanal
- Teilverschlüsse der Unterschenkelarterien

