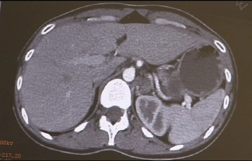
In der Bildbegung zeigt sich eine ca. 5-6 cm große multinodöse, zystisch imponierende Raumforderung im Bereich der linken Nebenniere, die klinisch als Phäochromozytom identifiziert wurde.
-
Computertomographischer Befund
![Computertomographischer Befund]()
-
Positionierung der Trokare
![Positionierung der Trokare]()
Herstellen des Kapnoperitoneums nach 2 cm langer Minilaparatomie im linken mittleren Oberbauch als Zugang für den Optiktrokar. Nach Inspektion der Bauchhöhle Einführen von zwei weiteren Arbeitstrokaren, 5 mm im linken Epigastrium und einem 12 mm Trokar ventral der linken 11. Rippe.
-
Ablösen des Colon descendens
-
Eröffnen des prärenalen Raums
![Eröffnen des prärenalen Raums]()
Toneinstellungen Der Weg zur linken Nebenniere erfolgt von lateral durch zunehmendes Lösen der linken Flexur aus dem Retroperitoneum bis die Vorderfläche der Gerotaschen Faszie bzw. der Nierenkapsel zu großen Teilen freiliegt.
Anmerkung: Bei schlanken Patienten ist es schwierig die Gerota-Faszie zu erhalten. -
Ablösen der Milz vom Zwerchfell
-
Darstellung des linken oberen Retroperitonealraums
Nach vorsichtigem kranial gerichtetem Anheben des Pankreasschwanzes findet man an dessen Ende dorsa
Jetzt freischalten und direkt weiter lernen.
Einzelfreischaltung
Freischaltung dieses Lehrbeitrags für 3 Tage.
Beliebtestes Angebot
webop - Sparflex
Kombiniere flexibel unsere Lernmodule und spare bis zu 50%.
86,33 $/ jährliche Abrechnung
Allgemein- und Viszeralchirurgie
Alle Lehrbeiträge in diesem Modul freischalten.
172,70 $ / jährliche Abrechnung





